凯斯艾生物科技(苏州)有限公司
在这个感恩的季节,KCI/KMQ/KAL向一直支持我们的每一位客户、伙伴,以及为科学进步默默付出的团队成员致以诚挚的感谢,感谢各位在过去一年里给予我们的支持和信任,感恩有你们,一路温暖同行。
你是否也加入了"铲屎官"大军,享受着毛孩子带来的温暖陪伴?随着我国养猫人群突破数千万大关,越来越多的人开始亲昵地自称"猫爸猫妈"。然而在这温馨的养猫热潮背后,有一种令人闻之色变的疾病——猫传染性腹膜炎(FIP),俗称"猫传腹",正在悄悄威胁着这些毛孩子的生命。当你发现爱猫腹部日渐膨大,它可能正在经历一场生死之战。

一、疾病类型
猫传腹是由猫传染性腹膜炎病毒(FIPV)引起的一种全身性、慢性且对家猫和野生猫科动物均可致死的重大传染病。据统计,约有5%的家猫死于FIP。猫传腹的元凶——猫冠状病毒(FCoV)其实相当普遍,在猫群中广泛存在。绝大多数感染FCoV的猫只会出现轻微症状甚至无症状,或仅表现为轻度呼吸道症状和腹泻。但在约5-10%的感染猫中,病毒会在体内发生突变,获得在单核细胞和巨噬细胞中有效且持续性复制的能力,从而引发全身性感染,导致FIP的发生。从最初的FCoV感染到发展成FIP,期间可能间隔数周、数月甚至数年。
猫传腹主要有两种临床表现形式:"湿性"(渗出型)和"干性"(非渗出型),有时也会出现混合型。
• 湿性FIP:较为常见,占病例的62.82%,其特征是胸腔、腹腔或心包腔积聚淡黄色、粘稠的渗出液。这些渗出液富含蛋白质,导致腹部逐渐膨大,是许多“家长”最先注意到的症状。
• 干性FIP:则表现为肉芽肿性病变,在腹腔器官或肠壁上形成灰色肉芽肿性肿块,可能影响肝脏、肾脏、眼睛和神经系统。
• 混合型:是结合了湿性FIP和干性FIP的病理变化特征。
| 特征 | 湿性 (渗出型) FIP | 干性 (非渗出型) FIP |
| 发病率 | 约62.82% | 约37.18% |
| 主要表现 | 胸腔/腹腔积液腹部膨大 | 器官肉芽肿,神经系统症状 |
| 诊断难度 | 相对容易 | 更具挑战性 |
| 病程 | 通常更急 | 通常更慢性 |
二、疾病症状
猫传腹的临床症状多样,主要包括:
①食欲不振、精神沉郁、慢性体重减轻
②发热(39.74%)且对抗生素治疗无反应
③腹部逐渐膨大(湿性)
④神经症状如共济失调或癫痫,眼部病变如葡萄膜炎(干性)
流行病学调查显示,幼猫更易患病,70.51% 的FIP病例为幼龄猫。雄性猫的就诊率远高于雌性猫,比例约为2:1。在品种方面,引进品种猫占比54.49%,略高于中华田园猫。
近年来,猫传腹的治疗出现了突破性进展,主要归功于几种抗病毒药物的应用:

①GS-441524:在临床试验中表现出色,一组研究显示,98只FIP患猫皮下注射GS-441524(7.5 mg/kg,每日一次)后,临床症状明显改善。该药口服也显示出良好的吸收和较慢的代谢清除特性。
②GC376:作为病毒蛋白酶抑制剂,也能有效治疗FIP,但研究表明其疗效可能不如GS-441524。
对比研究显示,GS-441524治疗组的用药时间显著少于GC376治疗组,且GS-441524的治疗效果优于GC376。
四、凯斯艾•珂玛麒抗感染疫苗与药物研发服务平台
凯斯艾•珂玛麒建立了兼备BSL-2和ABSL-2双资质,提供100+种病原微生物(细菌、病毒和真菌),包括人类药物、兽药和宠物药开发研究所需的抗感染研发服务平台。BSL-2实验室面积约200m², 包含了细胞、病毒及细菌;ABSL-2实验室面积约1000m², 其中小动物实验室300m²,大动物实验室700m²。经过多年的内部研发和对外服务,凯斯艾•珂玛麒成功地建立了多种病毒、细菌及真菌感染性动物模型,致力于为客户提供高质量的药理药效学评价服务,主要包括:
(1)体外抗感染药效试验:抗病毒作用-EC50/CC50检测;MIC药敏试验;FIC测定;生物学特性影响等。
(2)疫苗体内免疫原性试验:中和试验、血凝抑制试验、细胞免疫等;
(3)动物攻毒保护性试验:疫苗类、抗病毒药物;
(4)感染性动物试验。

猫传染性腹膜炎模型案例分享
受试药物以及GS-441524在猫FIPV感染模型上的药效学研究
数据展示• 动物体重、体温、生存期统计

图1:动物体重和体温变化
攻毒后, 模型组动物体重呈现明显下降趋势, 体温呈现波浪型升高; 主要症状表现为食欲下降或废绝, 精神状态变差;
与模型组相比, 给药后, 各给药组动物体重开始恢复增长,体温在不同时间段具有降低趋势; 与阳性药GS-441524组相比, CPD1组和CPD2组体重恢复增长趋势更加明显, 其中CPD2组具有统计学差异。同时,GS-441524、CPD1、CPD2给药治疗均能显著改善动物的生存周期。
• 血生化检测

图2:血清生化检测
攻毒后, 模型组动物外周血ALB含量呈现逐步降低趋势, GLO呈现上升趋势, A/G进一步降低;
与模型组相比, 给药后,各给药组外周血ALB含量呈现上升趋势, GLO呈现下降趋势, A/G比逐渐恢复增长, 其中GS-441524组在2wks具有显著性差异, CPD2-15mpk组在1wks和2wks均有显著性差异.与阳性药GS-441524组相比, CPD1组和CPD2组外周血ALB, GLO, A/G比没有明显差别。
• 死亡动物或试验终点动物主要脏器FIPV病毒载量检测

图3:主要脏器病毒载量检测
Two-way ANOVA: *** p<0.001 vs. vehicle group; ** p<0.01 vs. vehicle group; * p<0.05 vs. vehicle group. T-test: # p<0.05 vs. vehicle group
与模型组相比,GS-441524组、CPD1组、CPD2组主要脏器FIPV病毒载量显著下降,整体处于极低或低于检测下限。
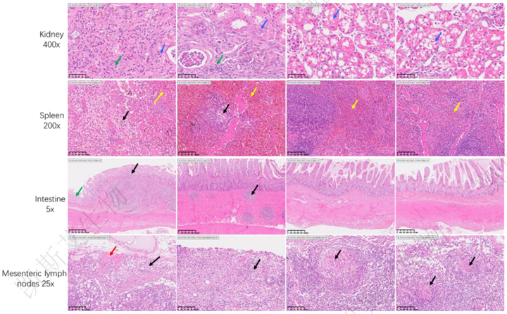
• 主要脏器HE染色分析


图4:肝脏、心脏、肺脏HE病理染色分析


图5:肾脏、脾脏、肠道、肠系膜淋巴结HE病理染色分析
模型组动物呈现全身性脏器病变,心脏表现为心肌炎、心肌变性和心外膜炎,肝脏表现为肝细胞变性、坏死和炎症,肺脏主要表现为胸膜炎和少量的肺泡炎症,肾脏表现为肾小管变性和肾间质炎症,脾脏表现为脾脏淤血和炎症,肠道表现为黏膜糜烂和炎症性肉芽肿,肠系膜淋巴结表现为坏死和炎症。与模型组相比,各给药组动物心脏、肝脏、脾脏、肺脏、肾脏、小肠以及肠系膜淋巴结上述病理变化均有明显地改善,病变程度处于轻微状态;不过大肠病理变化没有明显改善,与大肠FIPV载量数据一致。