凯斯艾生物科技(苏州)有限公司
炎症性肠病(IBD)作为一种复杂的慢性肠道疾病,其发病机制涉及遗传、免疫、环境等多方面因素。在IBD药物研发过程中,选择合适的动物模型至关重要。其中,DSS(葡聚糖硫酸钠)诱导的IBD模型因其操作简便、重复性好而成为最常用的研究工具之一。
DSS模型的作用机制
DSS是一种硫酸化多糖,通过饮水给药可导致小鼠结肠上皮细胞损伤。其作用机制主要包括:
• 直接细胞毒性:破坏肠上皮屏障完整性
• 免疫激活:促进巨噬细胞浸润和炎症因子释放
• 菌群失调:改变肠道微生物组成
DSS模型与人类IBD的临床相似性
病理特征的高度吻合
• 黏膜溃疡和上皮损伤模式与人类溃疡性结肠炎(UC)高度相似
• 炎症细胞浸润特征与临床活检标本一致
• 肠道屏障功能障碍是IBD的核心病理环节
临床症状的对应关系
• 体重下降 → 人类IBD患者营养不良
• 便血和腹泻 → 临床主要症状
• 疾病活动指数(DAI)→ 临床疾病活动指数评估
凯斯艾生物炎症/免疫系统疾病药理药效学评价平台
凯斯艾生物炎症/免疫系统疾病药理药效学评价平台拥有全面的动物模型体系,平台已累计了丰富的项目经验,可满足多元化的研究需求。目前,公司已与国内外众多知名药企及科研机构建立了广泛的长期合作,为创新药物的开发提供坚实基石。

DSS诱导IBD动物模型案例分享
01 DSS诱导小鼠急性IBD模型
数据展示
• 疾病活动指标变化 & 结肠大体测量

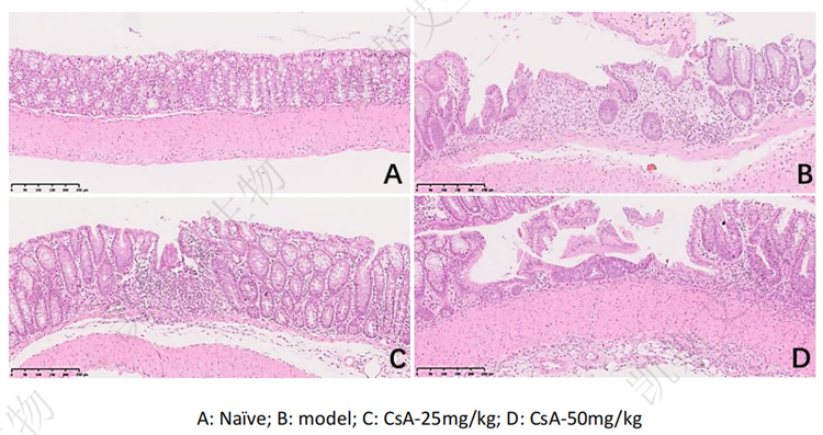
• 结肠组织病理检测结果



正常结肠黏膜层内可见少量散在的T淋巴细胞(红箭头);模型动物结肠溃疡部位可见大量T淋巴细胞浸润(绿箭头);低剂量CsA治疗显示溃疡部位T细胞浸润明显减少(绿箭头);高剂量CsA治疗显示溃疡部位T细胞浸润明显减少(绿箭头)。

正常结肠黏膜层内散在少量巨噬细胞(红箭头);模型动物结肠溃疡部位可见大量巨噬细胞浸润(绿箭头);低剂量CsA治疗显示溃疡部位巨噬细胞浸润明显减少(绿箭头);高剂量CsA治疗显示溃疡部位巨噬细胞浸润明显减少(绿箭头)。
02 DSS诱导小鼠慢性IBD模型
数据展示• 疾病活动指标变化 & 结肠大体测量

• 结肠组织病理检测结果(HE染色)

03 DSS诱导大鼠急性IBD模型
数据展示• 疾病活动指标变化 & 结肠大体测量

• 血清细胞因子水平变化 & 结肠细胞因子水平变化

