凯斯艾生物科技(苏州)有限公司
01,骨关节炎的动物模型全解析|从实验室到临床的关键桥梁
“人老先老腿,腿老先老膝。”
这句俗语揭示了骨关节炎(Osteoarthritis,简称 OA)的现实困境——一种常见却仍未被彻底攻克的慢性退变性疾病。
02,为什么要建立骨关节炎动物模型?
骨关节炎是全球致残率最高的疾病之一。目前肿瘤治疗往往会导致关节疼痛以及肌肉疼痛,它不仅带来疼痛与功能障碍,还严重影响生活质量。
然而,在人体上直接研究病理机制或测试药物并不现实——于是,动物模型成为研究者连接实验室与临床的关键桥梁。
通过动物模型,我们可以:
• 模拟骨关节的退变过程;
• 探索发病机制(炎症、力学、代谢等);
• 验证药物、康复、材料和干预策略;
• 评价影像学、行为学和组织学指标。
一句话:“动物模型是骨关节炎研究的‘实验镜像’。”
常见模型一览-不同路径通往同一个骨关节
骨关节炎模型大致分为两大类:自发性模型与诱导性模型。

模型选择的科学逻辑

凯斯艾生物骨、关节、肌肉系统疾病药理药效学评价平台

凯斯艾生物已建立MIA诱导的关节炎,木瓜蛋白酶诱导的关节炎,各种手术模型诱导的关节炎模型,本次介绍手术诱导以及豚鼠自发诱导的骨关节炎模型。

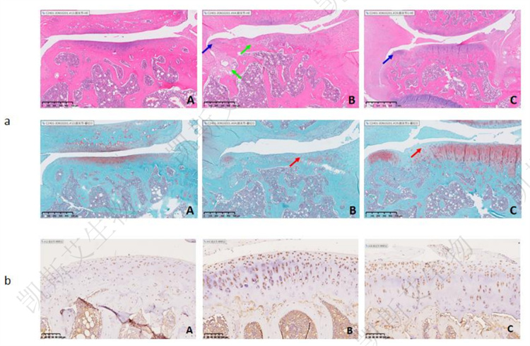
01,前交叉韧带横断诱导大鼠骨关节炎模型
数据展示
▪ a-关节机械疼痛阈值、b-跑步力竭、c-足平衡、d-终点步态

▪ a-组织病理检测、b-IHC-MMP13

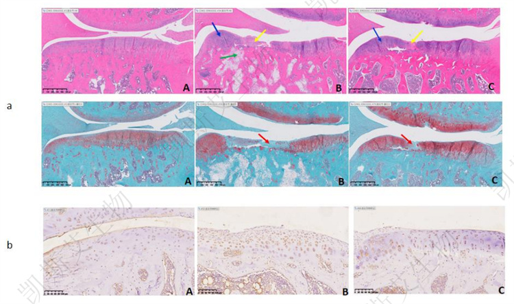
02,半月板横断诱导大鼠骨关节炎模型
数据展示
▪ a-关节机械疼痛阈值、b-跑步力竭、c-足平衡、d-终点步态

▪ a-组织病理检测、b- IHC-MMP13

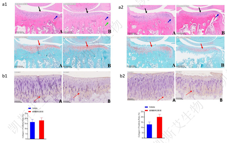
03,豚鼠自发型骨关节炎轻中度模型
数据展示
▪ 轻度自发性关节炎:a1-关节机械疼痛阈值、b1-跑步力竭中度自发性关节炎:a2-关节机械疼痛阈值、b2-跑步力竭

中度自发性关节炎:a2-组织病理检测、b2- Collagen II代表图像

04,前交叉韧带切断联合半月板摘除诱导新西兰大白免骨关节炎模型
数据展示
▪ a-关节肿胀、b-CT

▪ a-组织病理检测、b- TIMP-3代表图像、c-MMP13代表图像

总结与临床启示
▪ 模型有效性: 前交叉韧带横断(ACLT)及半月板横断(MMT)诱导大鼠骨关节炎模型,前交叉韧带切断联合半月板摘除诱导新西兰大白兔骨关节炎模型,豚鼠自发型骨关节炎轻中度模型均在组织病理学上出现明显的损伤,为OA的研究提供可靠的模型数据。
▪ 临床价值:OA的发病率呈逐年攀升,已成为影响中老年人健康、降低生活质量的重大慢性疾病,对个人健康管理与社会医疗体系均构成严峻挑战。在此环境下,OA 动物模型的构建具有不可替代的核心价值,为突破当前 OA 诊疗瓶颈及推动基础研究向临床转化奠定了基础。